Product Includes
Application Dilution
Immunofluorescence 1:400-1:600
Immunohistochemistry (Paraffin) 1:200-1:300
Storage
100mM Tris Glycine, 20% Glycerol (pH7). 0.025% ProClin 300 was added as a preservative
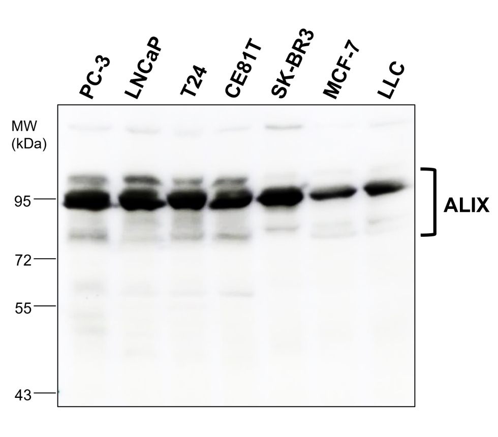
Specificity / Sensitivity
Source / Immunogen
This gene encodes a protein that functions within the ESCRT pathway in the abscission stage of cytokinesis, in intralumenal endosomal vesicle formation, and in enveloped virus budding. Studies using mouse cells have shown that overexpression of this protein can block apoptosis. In addition, the product of this gene binds to the product of the PDCD6 gene, a protein required for apoptosis, in a calcium-dependent manner. This gene product also binds to endophilins, proteins that regulate membrane shape during endocytosis. Overexpression of this gene product and endophilins results in cytoplasmic vacuolization, which may be partly responsible for the protection against cell death. Several alternatively spliced transcript variants encoding different isoforms have been found for this gene. Related pseudogenes have been identified on chromosome 15. [provided by RefSeq, Jan 2012]
