



Product Includes
Application Dilution
Immunofluorescence 1:300 – 1:500
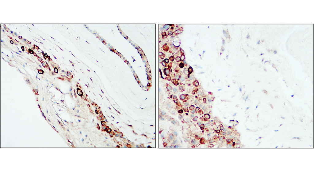
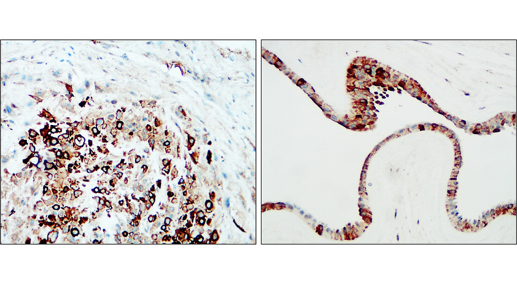
Immunohistochemistry (Paraffin) 1:100 – 1:200
Storage
100mM Tris Glycine, 20% Glycerol (pH7). 0.025% ProClin 300 was added as a preservative
Specificity / Sensitivity
Source / Immunogen
This gene encodes a type IV collagen alpha protein. Type IV collagen proteins are integral components of basement membranes. This gene shares a bidirectional promoter with a paralogous gene on the opposite strand. The protein consists of an amino-terminal 7S domain, a triple-helix forming collagenous domain, and a carboxy-terminal non-collagenous domain. It functions as part of a heterotrimer and interacts with other extracellular matrix components such as perlecans, proteoglycans, and laminins. In addition, proteolytic cleavage of the non-collagenous carboxy-terminal domain results in a biologically active fragment known as arresten, which has anti-angiogenic and tumor suppressor properties. Mutations in this gene cause porencephaly, cerebrovascular disease, and renal and muscular defects. Alternative splicing results in multiple transcript variants. [provided by RefSeq, Dec 2014]